Breuklijn
Op werkdagen tussen 10.00 en 11.00 uur.
Tel.: (050) 524 7169
Martini offers Google® Translate as a convenience for visitors to our web site who may not have Dutch as their primary language. Google® Translate provides automated translations, which may result in incorrect or misleading translations. Martini is not responsible for any translations provided by Google® Translate or for any damages or losses arising from the use of or reliance on these translations. Viewers who rely on information through Google® Translate on our web site do so at their own risk.
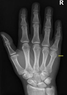
U heeft een breuk in het vijfde middenhandsbeentje (metacarpala 5). De breuk zit in de buurt van de knokkel van uw pink. We behandelen deze breuk met tape en drukverband. We maken geen standaard poliklinische controle afspraak, deze is over het algemeen niet nodig. Het is belangrijk uw vinger te bewegen zodra dit kan, om stijfheid te voorkomen.

Een gebroken middenhandsbeentje komt vaak voor. We behandelen u met tape, ook wel buddy tape genoemd, of er wordt een buddy loop gemaakt van klittenband. Daarnaast krijgt u drukverband om de breuk te ondersteunen. Zo heeft u minder pijn en geneest de breuk het snelst.
| Tijd | Behandeling |
| Na 0-1 weken | Drukverband verwijderen zodra de pijn dit toelaat. Buddy tape blijven dragen. |
| 1-3 weken | Buddy tape verwijderen zodra de pijn dit toelaat. |
| 3-6 weken | Hand vrij bewegen. |
| Na 6 weken | U mag weer sporten en gymmen. |
Volg de volgende instructies voor een zo goed mogelijke genezing.
Na een breuk van de vingers kan stijfheid en krachtsverlies optreden. Onderstaande oefeningen helpen om dit tegen te gaan.
U kunt het beste beginnen met het masseren van de vinger(s). Hier kunt u in principe direct mee beginnen. Heeft u genezen littekens, dan kunt u deze ook voorzichtig masseren.
Bij deze oefening buigt en strekt u de vingers. U kunt direct beginnen met oefenen, als de pijn dit toelaat.
Heeft u nog vragen? Neem dan contact op met de polikliniek Orthopedie. Heeft u na de behandeling onverwacht veel pijn of houdt de pijn lang aan? Neem dan contact op met onze Breuklijn.
Versie: 00003 03-2021 Gebroken 5e middenhandsbeentje (Metacarpale 5)