Inleiding
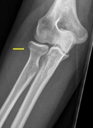
U heeft een kleine breuk van de radiuskop of radiushals. Dit zit in uw spaakbeen ter hoogte van de elleboog. We behandelen deze breuk met een drukverband en een sling. Dit is een soort mitella. Deze breuk herstelt doorgaans zonder restklachten. Daarom maken we geen standaard poliklinische controle afspraak. Het is wel belangrijk dat u na uiterlijk 1 week uw verband en sling verwijdert en start met oefenen om stijfheid van de elleboog te voorkomen. Geschikte oefeningen vindt u in deze folder.

De behandeling
Een gebroken radiuskop of radiushals komt vaak voor. Dit is goed te behandelen met een drukverband en een sling (mitella). Na 1 week begint u met oefeningen.
|
Tijd
|
Wat mag u doen? |
|
Na 1 week
|
Sling, als eerste verwijderen zodra de pijn dit toelaat.
|
|
|
Drukverband, verwijderen zodra de pijn dit toelaat.
|
|
1-4 weken
|
Oefenen met buigen, strekken en draaien van de arm.
Mag iets pijn doen, maar niet veel.
|
|
4-6 weken
|
Elleboog onbeperkt bewegen. Pijn mag, maar niet te veel.
|
|
Na 6 weken
|
U mag weer sporten en gymmen.
|
Instructies
Volg deze instructies voor een zo goed mogelijke genezing:
- Een sling en drukverband houden uw arm in een prettige positie. Meestal heeft u na 1 week geen sling en drukverband meer nodig. Wij adviseren u daarom om de sling en het drukverband, als de pijn het toelaat, binnen 1 week te verwijderen.
- Wanneer na 1 week de pijn nog niet onder controle is, kunt u het drukverband nog een week om laten. U mag het verband zelf vervangen met een verband dat u bij de drogist kunt kopen.
- De breuk zit dicht bij het gewricht. Begin daarom met buigen en strekken van de elleboog zodra de pijn dat toelaat. Dat betekent dat u de elleboog kunt bewegen zolang u de pijn kunt verdragen. Zo voorkomt u dat de elleboog stijf wordt. Oefeningen vindt u in deze folder.
- Heeft u pijn? Gebruik dan paracetamol. Wacht niet met paracetamol nemen totdat u te veel pijn heeft. Neem het altijd verspreid over de dag in. U kunt maximaal 4 keer per dag 2 tabletten van 500 mg paracetamol nemen op vaste tijden.
Herstel
- Een controle op de polikliniek is in principe niet nodig. De breuk geneest meestal binnen enkele weken vanzelf volledig.
- Het is mogelijk dat de strekfunctie van de elleboog na 4 tot 6 weken nog niet volledig is. Meestal herstelt dat in de maanden erna.
- Fysiotherapie is meestal niet nodig. Bent u na 6 weken ontevreden over de functie van uw elleboog? Dan kunt u een fysiotherapeut inschakelen.
- Neemt de pijn erg toe of is de pijn de aankomende weken niet minder? Neem dan contact op met onze Breuklijn. Als een controle dan toch nodig is, maken we een afspraak.
Oefeningen
Na een breuk van de elleboog kan stijfheid en krachtsverlies van de arm optreden. Onderstaande oefeningen helpen om dit tegen te gaan.
- Oefen minstens 3 keer per dag en doe de oefening minstens 10 keer.
- U kunt eventueel in warm water oefenen.
- Gebruik uw hand zo normaal mogelijk, hiermee oefent u de elleboog ook.
Oefening 1: Buigen en strekken van de elleboog
Bij deze oefening buigt en strekt u de elleboog. U kunt met deze oefening na 1 week beginnen als de pijn het toelaat. Er zijn 2 oefenvormen: passief en actief oefenen.
U begint met passief oefenen, dat wil zeggen dat u de elleboog buigt en strekt met hulp van uw andere hand. Zie onderstaande afbeeldingen.

Daarna kunt u actief oefenen, dat wil zeggen dat u zonder hulp van uw andere hand de elleboog buigt en strekt. Als volledig buigen en strekken nog niet lukt, kunt u voor dit laatste stuk uw andere hand gebruiken. Let op: doe dit alleen als de pijn dit toelaat, overstrek niet als dit nog pijn doet. Zie onderstaande afbeeldingen voor actief oefenen.

Oefening 2: Draaien van de elleboog
Bij deze oefening draait u de elleboog. U kunt met deze oefening na 4 weken beginnen, als de pijn dit toelaat. Wederom kunt u passief en actief oefenen, zoals beschreven bij de oefening ‘Buigen en strekken van de elleboog’.
Voor het draaien van de elleboog houdt u de elleboog tegen de zij aan. Vervolgens draait u de elleboog, zodat u in de handpalm kijkt en vervolgens op de handrug kijkt. Zie onderstaande afbeeldingen.

Vragen?
Heeft u nog vragen? Neem dan contact op met de polikliniek Orthopedie. Heeft u na de behandeling onverwacht veel pijn of houdt de pijn lang aan? Neem dan contact op met onze Breuklijn. Dat kan op werkdagen tussen 10.00 en 11.00 uur via (050) 524 7169.
Versie: 00012 03-2021 Breuk van radiuskop of radiushals (elleboog)